麻豆传媒a片
门户
邮箱
USC
校历
图书馆
博物馆(校史馆)
招生
招聘
访客
校友
捐赠
EN
首页
中大新闻
学校概况
中大简介
现任领导
服务机构
中大校区
信息公开
院系设置
学部
院系
附属医院
师资队伍
院士
名医
优秀社会科学家
教学名师
杰出中青年学者
人才培养
本科生培养
研究生培养
国际生培养
科学研究
科研进展
重大科技创新平台
重点研究机构
学术期刊
中大看点
校园生活
校园文化
校园风光
校园看点
图说中大
校园媒体
数字虚拟医学博物馆
百年校庆
EN
首页
中大新闻
学校概况
中大简介
现任领导
服务机构
中大校区
信息公开
院系设置
学部
院系
附属医院
师资队伍
院士
名医
优秀社会科学家
教学名师
国家级
省级
杰出中青年学者
人才培养
本科生培养
研究生培养
国际生培养
科学研究
科研进展
重大科技创新平台
重点研究机构
国家级平台
省部级平台
学术期刊
中大看点
校园生活
校园文化
校园风光
校园看点
图说中大
2024
2023
2022
往期回顾
校园媒体
数字虚拟医学博物馆
百年校庆
门户
邮箱
USC
校历
图书馆
博物馆(校史馆)
招生
招聘
科研进展
科研进展
重大科技创新平台
重点研究机构
国家级平台
省部级平台
学术期刊
首页
/
科学研究
/
科研进展
科研进展
邓家品、刘彦初等:宽带基础设施建设提升居民福利
2025年12月12日
林浩添团队研究验证大语言模型作为医学AI研究的“智能引擎”,助力医生突破技术壁垒
2025年12月12日
中大团队首次系统探究DPANN古菌共生现象的进化可逆性
2025年12月10日
林达涛孙希提出入侵媒介螺类安全高效防控新策略
2025年12月05日
2025/10/
16
唐亚梅教授团队新研究提出卒中治疗优化方案
2025/10/
16
2025/10/
14
颜光美梁剑开团队鉴定G蛋白偶联受体TPRA1作为溶瘤病毒M1新型受体
2025/10/
14
2025/10/
09
张清炯申煌煊团队发现RP新致病基因TRIM49,揭示RPE自噬—吞噬调控新机制
2025/10/
09
2025/10/
09
罗乐团队在超冷原子p波相互作用的精密测量中取得重要进展
2025/10/
09
2025/10/
05
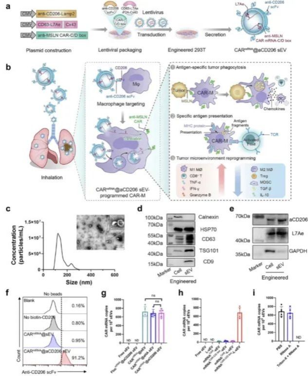
黄曦教授团队开发创新性吸入式细胞疗法为攻克肺转移癌提供新策略
2025/10/
05
首页
上页
1
...
3
4
5
6
7
...
250
下页
尾页
到第
页
跳转
麻豆av
|
麻豆传媒
|
麻豆国产
|
麻豆视频